告别“大水漫灌”:抗血栓治疗进入“精准狙击”新纪元
10月13日是世界血栓日—这个日子既是为了纪念提出血液循环理论的德国医生鲁道夫·菲尔绍,更想提醒大家:血栓这颗‘隐形炸弹’,可能隐藏在每个人身边,随时可能威胁生命健康。你以为血栓只是老年人的“专利”吗?这个认知可能已经过时了。在当下快节奏、久坐少动的生活方式中,血栓的风险正悄然逼近越来越多的年轻人。

图源于网络
什么是血栓?

图源于网络
血栓,本质上是血管内形成的“血凝块”。生理状态下,它是人体受伤后的重要保护机制,能有效止血;然而,一旦其在血管内异常、不受控地形成,便转化为致命的“路障”,可发生于动脉或静脉,导致严重后果。
血栓的危害主要分为两类:动脉血栓多源于动脉粥样硬化斑块破裂,常引发心梗(全球年约1800万例)与脑梗(年约1370万例),二者合计占动脉血栓病例的85%;静脉血栓则好发于下肢深静脉,血栓脱落后易随血流引发肺栓塞(PTE)——全球每年约1000万例静脉血栓栓塞中,近1/3会进展为此急症。

图源于网络
从传统靶点到精准干预的演进
血栓形成的根本机制是血管内皮损伤、血流状态异常和血液凝固性增加,三者单独或协同作用触发血栓。目前常用的抗血栓药主要分两类:一类是抑制血小板聚集的药物(如大家熟知的阿司匹林、氯吡格雷),另一类是抗凝的药物(如肝素、华法林)。

图源于三济生物
随着对动脉和静脉血栓形成机制的深入了解,抗血栓药物的研发已从针对广泛凝血过程的传统药物,转向针对特定关键靶点的精准疗法。血小板活化、凝血酶生成、纤维蛋白形成及纤溶系统是血栓形成的核心环节,相应的靶点如血小板P2Y12受体、凝血因子Xa/IIa等已成为经典。然而,传统药物在疗效与出血风险之间的平衡难题,持续驱动着新靶点的探索与药物迭代。

图源于汉斯出版社
2024 年6月,百奥泰自主研发的1类创新药枸橼酸倍维巴肽注射液获国家药监局批准上市。作为新一代双靶点肽类抑制剂,它不仅特异性拮抗血小板GPIIb/IIIa(αIIbβ3)受体,还可抑制血管壁αvβ3整合素,具备起效迅速、抑制效果稳定且停药后血小板功能恢复快的核心特点。


图源于百奥泰
2025年5月,江苏威凯尔自主研发的维卡格雷胶囊(P2Y12受体拮抗剂)完成关键III期临床试验全部入组,直接以经典药物氯吡格雷为对照,旨在验证其在冠心病ACS患者中的优越性,标志着我国在该成熟靶点上的创新药物研发迈向新阶段。

2025年6月,CSL公司研发的加达西单抗获美国FDA批准上市,成为全球首款靶向活化凝血因子XIIa的单克隆抗体。该药物用于预防遗传性血管性水肿发作,其重大意义在于理论上可强效抑制接触激活通路引发的病理过程,而不干扰机体正常的生理性止血功能,其核心价值是抑制FXIIa介导的HAE发作级联反应,临床研究显示无出血/血栓事件,安全性与安慰剂相当,实现了“精准抗栓”的理想概念。

图片源于PR Newswire
2025年6月,恒瑞医药自主研发的FXI抑制剂SHR-2004的II期临床结果在欧洲重磅学术会议上公布,数据显示其在预防静脉血栓栓塞方面疗效显著且安全性良好。

图源于恒瑞医药
2025年11月,拜耳公司宣布其口服FXIa抑制剂Asundexian在关键III期试验中取得突破性成功,达到了预防非心源性缺血性脑卒中复发的主要终点,每日50mg Asundexian联合抗血小板治疗,显著降低复发风险且不增加ISTH大出血风险,获FDA快速通道资格,为这一全新作用机制药物的最终上市奠定了坚实基础,也为脑卒中的二级预防开辟了新方向。

图源于拜耳
总结而言,当前抗血栓药物研发呈现出清晰的“双轨并行”态势:一是在传统靶点上进行深度优化,开发更安全、更有效的新一代药物;二是大胆探索凝血因子XII、XI等上游新型靶点,致力于从根本上破解“抗栓”与“出血”的长期矛盾。从百奥泰、威凯尔的快速跟进与优化,到恒瑞、拜耳对前沿机制的开拓,再到CSL实现全球首创新药的上市,这一系列进展紧密关联,共同绘制出抗血栓治疗向更精准、更安全时代迈进的路线图。
这场 “双轨并行”的研发浪潮,既扎根于临床未被满足的需求,又依托于基础医学的机制突破,更凝聚着中外药企的创新智慧——本土企业从成熟靶点迭代中抢占先机,跨国巨头在前沿机制探索中开拓疆土,共同推动抗血栓治疗从 “大水漫灌”的粗放时代,正式迈入 “精准狙击”的新纪元。
中洪博元血栓模型
1.FeCl3诱导的大鼠颈总动脉血栓模型
造模:在SD大鼠颈部分离出右侧颈总动脉,对照组颈总动脉用生理盐水孵育,其余各组将吸有10% FeC13溶液小片滤纸敷育。
阳性药物:硫酸氯吡格雷、阿替普酶。
结果:
(1)血流检测

(2)出血时长及凝血时长

(3)血流变化

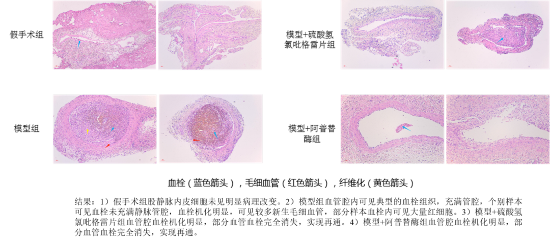
2.深静脉血栓模型
造模:将SD大鼠随机分组,假手术组进行假手术操作。模型组分离下腔静脉表面的腹后膜及结缔组织,进行狭窄法构建。
阳性药物:硫酸氯吡格雷、阿替普酶。
结果:
(1)体重

(2)血栓湿重

(3)病理检测

(4)ELISA检测

3.股静脉血栓模型
造模:SD大鼠经麻醉后,沿左腹股沟区中点进行股静脉不完全结扎,假手术组只游离股静脉。
阳性药物:硫酸氯吡格雷、阿替普酶
结果:
(1)体重

(2)血栓湿重

(3)病理检测

免责声明:本号内容仅供读者学习和交流。文章、图片等版权归原作者享有,如有侵权,请留言联系。
关于中洪博元
江西中洪博元生物技术有限公司成立于2015年,11年来坚持大规模标准化创制人类疾病动物模型,开展更接近人类疾病发生发展机制、更有临床转化价值的原创动物模型技术攻关,目前,中洪博元已合作药企200余家,开展项目300余项,积累了丰富的药理药效项目经验。
中洪博元秉承助力新药研发理念,开展基于动物疾病模型的药效研究,拥有获得AAALAC完全认可的实验平台。公司配备了全种类实验场地,大小鼠SPF级标准实验室3000平米,猪、犬、羊、兔大动物实验室4000平米,检测中心5000平米。平台使用SPF级动物,配备10万级洁净度屏障环境,在规范的SOP和严格的QA流程管理下,确保每个实验高标准完成。
