107亿美元!MASH药物市场不再“无药可治” | 附非酒精性脂肪肝炎模型介绍
一提到脂肪肝,很多人可能最先想到的是中年啤酒肚,但其实脂肪肝并非肥胖人群和喝酒人士专属,它的覆盖人群更广,发病率更高,并且隐匿性强,不少人没有什么症状,体检的时候突然检查出自己有脂肪肝……
非酒精性脂肪性肝炎(MASH)是指在脂肪肝基础上(肝细胞内脂肪含量>5%),出现小叶炎症和肝细胞气球样变性,并排除酒精和药物等病因,MASH还可进展为肝纤维化、肝硬化甚至肝细胞癌。

图片来源于网络
有数据显示,预计2025年全球MASH药物市场规模达107亿美元,到2030年将增长至322亿美元。
与阿尔茨海默病一样,MASH的病因复杂,发病机理至今尚未明确,自1980年被发现以来,MASH领域的药物研发几乎都以失败告终,吉利德、诺华、百时美施贵宝等多家跨国药企都曾在该领域研发折戟,临床存在巨大的未被满足的需求。
2024年3月,Resmetirom获FDA批准上市,成为近四十年来全球首款用于治疗MASH的药物,Resmetirom是美国Madrigal Pharmaceuticals公司研发的一款针对甲状腺激素受体-β(THR-β)的选择性激动剂,该小分子口服药物可被肝细胞特异性摄取,通过THR-β调控多个肝脏代谢通路,从而减少脂肪堆积、促进脂肪酸代谢、减少肝脏炎症和调节胆固醇代谢。目前在国内尚未获批上市。

Resmetirom药效
在Resmetirom获批前,全球无任何获批专用于治疗MASH的药物。2025年8月5日,Madrigal Pharmaceuticals宣布Resmetirom在2025年第二季度大卖2.128亿美元,环比增长55%,上半年总计销售额为3.501亿美元,预计该药物2025年全年销售额可达到8亿+美元。
2025年8月15日,诺和诺德宣布,FDA已基于补充新药申请(sNDA)加速批准其重磅产品Wegovy®(司美格鲁肽2.4mg)用于治疗伴中度至重度肝纤维化(F2-F3期)的非肝硬化MASH成人患者,该疗法需联合低热量饮食及增加体力活动。此次获批使司美格鲁肽成为全球首个且唯一获批用于治疗MASH的GLP-1受体激动剂。

Resmetirom与GLP-1药效对比:

当前 MASH 治疗已从 “无药可用” 进入 “有药可选” 阶段,GLP-1 类与 THR-β 激动剂率先获批,代谢靶点药物成为研发核心。未来 2-3 年,III 期数据的陆续公布与联合治疗方案的成熟,将进一步提升临床获益,覆盖更广泛患者群体。
动物模型研究进展:


中洪博元非酒精性脂肪肝炎模型
一、MCD饲料诱导C57BL小鼠
实验动物:C57BL/6J小鼠
造模方法:MCD饲料喂养,自由饮水
阳性药物:辛伐他汀
实验流程:
模型评价:
1.体重变化:在MCD饲养阶段,模型组及模型+辛伐他汀组体重出现下降趋势。
2.肝脏指数:模型组肝脏指数有上升的趋势,模型+辛伐他汀组的肝脏指数显著低于(p<0.001)模型组。

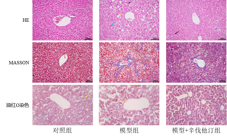
3.肝脏病理
对照组肝脏结构正常。模型组肝脏出现大量脂质空泡,肝细胞气球样变及炎性细胞浸润,较对照组有极显著病理损伤(p<0.001),且模型组肝脏纤维化程度高于(p<0.05)对照组,油脂小体体积大且密集。模型+辛伐他汀组脂质空泡少,肝细胞气球样变及炎性细胞浸润有所改善,病理损伤程度显著与模型组差异非常显著(p<0.01),且纤维化程度显著轻于(p<0.05)模型组,油脂小体体积和密度小于模型组。

肝细胞脂肪样变(黄色箭头)肝细胞气球样变(蓝色箭头)炎性细胞浸润(黑色箭头)
*表示模型组与对照组相比差异显著(p<0.05),***表示模型组与对照组相比差异极显著(p<0.05);#表示模型+辛伐他汀组与模型组相比差异显著
4.血清转氨酶水平
模型组血清ALT水平非常显著高于(p<0.01)对照组,模型+辛伐他汀组血清ALT显著低于(p<0.05)模型组。模型组血清AST水平极显著高于(p<0.001)对照组,模型+辛伐他汀组血清AST较模型组有下降趋势。

**表示模型组与对照组相比差异非常显著(p<0.01),***表示模型组与对照组相比差异极显著(p<0.05);#表示模型+辛伐他汀组与模型组相比差异显著(p<0.05)
二、HFD联合化学药物诱导Wistar大鼠
实验动物:Wistar大鼠
造模方法:高脂饮食+四氯化碳联合诱导
实验流程:

模型评价:

对照组肝脏颜色形态正常。模型组肝脏表观呈黄褐色且光泽油腻肥大。

对照组肝脏结构正常。模型组肝脏出现大量脂质空泡,肝细胞气球样变及炎性细胞浸润,较对照组有极显著病理损伤(p<0.001),且模型组肝脏纤维化程度高于(p<0.05)对照组,油脂小体体积大且密集。


免责声明:本号内容仅供读者学习和交流。文章、图片等版权归原作者享有,如有侵权,请留言联系。
关于中洪博元
江西中洪博元生物技术有限公司成立于2015年,11年来坚持大规模标准化创制人类疾病动物模型,开展更接近人类疾病发生发展机制、更有临床转化价值的原创动物模型技术攻关,目前,中洪博元已合作药企200余家,开展项目300余项,积累了丰富的药理药效项目经验。
中洪博元秉承助力新药研发理念,开展基于动物疾病模型的药效研究,拥有获得AAALAC完全认可的实验平台。公司配备了全种类实验场地,大小鼠SPF级标准实验室3000平米,猪、犬、羊、兔大动物实验室4000平米,检测中心5000平米。平台使用SPF级动物,配备10万级洁净度屏障环境,在规范的SOP和严格的QA流程管理下,确保每个实验高标准完成。
