亿人受累!特应性皮炎创新药与靶点研究迎来爆发期
随着单细胞测序、AI 药物设计及免疫调控技术的飞速发展,特应性皮炎(AD)领域在发病机制解析、新靶点挖掘及创新疗法转化方面迎来爆发期。2025-2026年,《Nature Communications》《JAMA Dermatology》等顶刊及国际多中心临床试验连续公布突破性成果,从皮肤屏障修复机制到 OX40L、ITK 等新兴靶点药物研发,为全球 3 亿 AD 患者带来精准治疗新希望。
机制研究新突破:从皮肤屏障到神经免疫调控

图源:frontiers
2025 年 3 月,《Frontiers in Medicine》发表的 24 年(1999-2023)文献计量研究(覆盖 4227 篇文献)显示,皮肤屏障损伤始终是 AD 研究核心方向。美国以 1263 篇文献(占比 30%)居全球首位,加州大学旧金山分校为最具影响力机构,《Journal of Allergy and Clinical Immunology》(IF=14.2)是核心成果发表平台。

图源:frontiers
研究发现,AD 患者皮肤屏障损伤呈现 “三重失衡” 特征,结构上丝聚蛋白(FLG)功能缺失变异(如 R510X、2282del4)在欧洲人群中占比超 9%,直接导致角质形成细胞分化异常和表皮紧密连接破坏;脂质层面皮损区棕榈酸(C16:0)水平升高 2.3 倍,通过调控 SGK1/NEDD4L 通路加剧神经免疫炎症;微生物层面金黄色葡萄球菌定植率达 89%,其分泌的毒素可抑制丝聚蛋白表达,而表皮葡萄球菌分泌的神经酰胺能修复屏障。

图源:springer
2026 年 2 月,《Inflammation Research》发表的机制研究首次揭示,AD 皮损中升高的棕榈酸(PA)通过驱动 TRPV1 和 MRGPRB2 的 S - 棕榈酰化,激活 “伤害性感觉神经 - SP - 肥大细胞” 轴,具体为 PA 促进背根神经节(DRGs)中 TRPV1 的 S - 棕榈酰化,使 P 物质(SP)释放增加 42.7%(P<0.01),SP 进一步诱导肥大细胞 MRGPRB2 的 S - 棕榈酰化,促使类胰蛋白酶释放增加 2.1 倍(P<0.01),类胰蛋白酶再激活角质形成细胞分泌 TSLP,形成 “炎症 - 屏障损伤” 恶性循环,使用泛棕榈酰化抑制剂 2BP 可使 AD 模型小鼠表皮厚度减少 56.2%、TSLP 水平降低 68.3%(P<0.01),为靶向 S - 棕榈酰化的药物研发提供理论依据。

图源:springer
2025 年 6 月,《Nature Communications》发表的大规模转录组研究(951 例 AD 患者皮肤样本)通过非负矩阵分解(NMF),识别出 12 个疾病相关基因模块(SKITm1-12),其中 SKITm2(Th2 相关模块)与红斑、瘙痒显著相关,CCL18、POSTN 等基因表达水平可预测 dupilumab 疗效,SKITm7(Th17 相关模块)在顽固性 AD 中高表达,其标志物 FBLIM1 阳性患者 dupilumab 应答率降低 43.2%(P<0.01),SKITm9(Th1 相关模块)特异性富集于苔藓样淀粉样变亚型,MX1、CXCL9 等基因表达与皮损慢性化密切相关

图源:nature
2顶刊临床试验:OX40L 靶点药物成焦点

图源:SANOFI
2026 年 1 月,赛诺菲公布 OX40L 单抗 Amlitelimab 两项 Ⅲ 期试验(SHORE、COAST 2)结果,为中重度 AD 治疗提供新选择。SHORE 研究(NCT06224348)纳入 596 例 12 岁以上患者联合外用激素治疗,24 周时每 4 周给药组 vIGA-AD 0/1 率达 28.7%,每 12 周组达 32.3%,均显著优于安慰剂组 16.8%(P<0.05),EASI-75 应答率分别为 48.1% 和 46.8%,安慰剂组仅 32.3%;COAST 2 研究(NCT06181435)针对 547 例患者单药治疗,美国人群中每 4 周 / 12 周组 vIGA-AD 0/1 率均为 25% 左右,优于安慰剂组 14.8%(P<0.05),但欧盟人群未达统计学显著性。安全性方面,Amlitelimab 无 T 细胞耗竭风险,常见不良反应为鼻咽炎(18.2%)、上呼吸道感染(12.5%),注射部位反应仅 2.2%,显著低于现有生物制剂,赛诺菲计划 2026 年下半年提交全球上市申请,其每 12 周给药优势有望提升患者依从性。

图源:AJMC
同期,《AJMC》报道的 Maui Derm 2026 会议数据显示,安进 OX40 抑制剂 Rocatinlimab 在两项 Ⅲ 期试验(ROCKET Ignite、ROCKET Horizon)中表现优异,24 周时 EASI-75 应答率达 68.9%,IGA 0/1 率达 42.3%,且疗效随治疗时间延长持续加深(52 周时 EASI-75 率升至 76.5%),对既往使用 dupilumab 或 JAK 抑制剂失败的患者仍有效。
企业管线进展:小分子抑制剂引领治疗革新

图源:corvus
2026 年 1 月,Corvus Pharmaceuticals 公布 ITK 抑制剂 Soquelitinib 的 Ⅰ 期临床试验数据,在中度至重度 AD 患者中,8 周治疗后 75% 患者达到 EASI-75,25% 达到 EASI-90,33% 达到 IGA 0/1,既往接受 dupilumab(43 例)或 JAK 抑制剂(28 例)治疗失败的患者中,EASI-75 率仍达 62.1%;安全性良好,无严重感染或肝酶升高事件,最常见不良反应为轻度头痛(15.3%)和恶心(9.8%)。ITK 作为 T 细胞活化关键激酶,其抑制可选择性调控 Th2 免疫反应,且不影响 Treg 细胞功能,为 AD 免疫调节提供新策略,目前 Corvus 已启动 Ⅱ 期临床试验,计划纳入 300 例患者验证长期疗效。

图源:insilico
同月,英矽智能宣布其通过自有 Chemistry42 生成式化学平台发现并优化的口服 NLRP3 抑制剂 ISM8969,已获得美国 FDA 的新药临床试验(IND)许可,该药当前获批的临床开发方向为帕金森病,核心优势在于临床前研究中展现的强效抗炎活性及优异的血脑屏障穿透能力,这也是其针对神经退行性疾病的关键特性。此外,英矽智能已与 Hygtia Therapeutics 达成全球共同开发合作协议,双方各持有该项目 50% 的全球权益,根据协议约定,英矽智能有望获得最高 6600 万美元的首付款及里程碑付款总和。
临床转化与展望
当前 AD 治疗已进入 “精准分型、靶点施治” 时代,从机制研究到临床转化呈现三大趋势。未来,随着多组学技术与 AI 药物设计的深度融合,针对 TRPV1、MRGPRB2 等新靶点的药物将陆续进入临床,推动 AD 治疗从 “症状控制” 向 “治愈导向” 跨越。
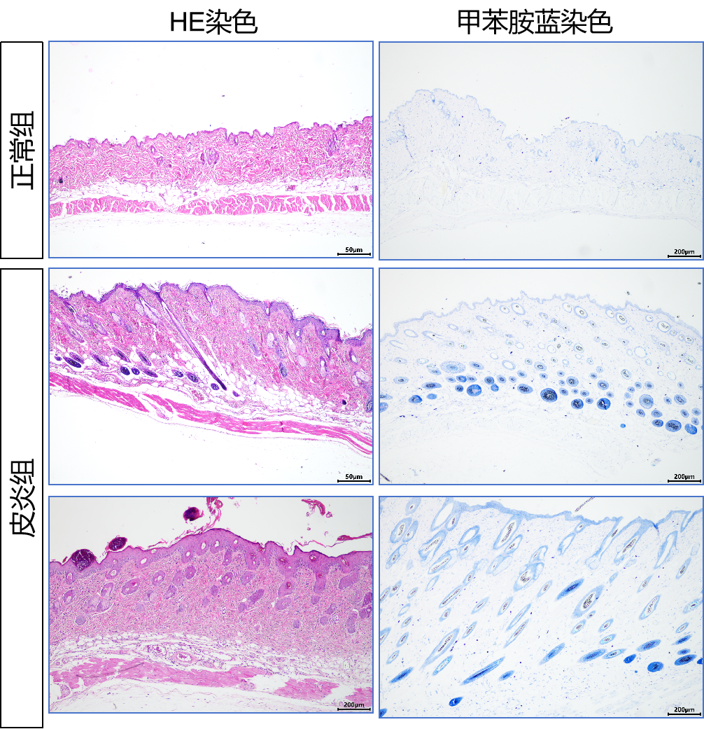
中洪博元特应性皮炎模型
1.Derf联合SEB
造模方法:将化妆棉块,Derf 及 SEB 滴于化妆棉上,将化妆棉使用胶布固定于小鼠脱毛区域,重复给药数天。
造模药物:粉尘螨蛋白(81)、金黄色葡萄球菌肠毒素B(SEB)
阳性药物:卤米松软膏;2%克立硼罗软膏;2%托法替布软膏


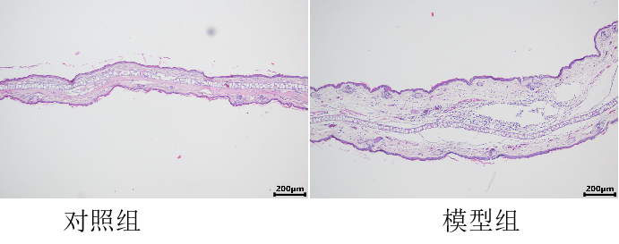
2.MC903诱导
造模方法:于颈背部均匀涂布工作液,右耳内测均匀涂布工作液,持续数天。
造模药物:卡泊三醇,
阳性药物:醋酸地塞米松软膏

3.TSLP诱导
造模方法:在各时间节点,在小鼠右耳皮下注射TSLP。
造模药物:鼠源胸腺基质淋巴细胞生成素


免责声明:本号内容仅供读者学习和交流。文章、图片等版权归原作者享有,如有侵权,请留言联系。
关于中洪博元
江西中洪博元生物技术有限公司成立于2015年,11年来坚持大规模标准化创制人类疾病动物模型,开展更接近人类疾病发生发展机制、更有临床转化价值的原创动物模型技术攻关,目前,中洪博元已合作药企200余家,开展项目300余项,积累了丰富的药理药效项目经验。
中洪博元秉承助力新药研发理念,开展基于动物疾病模型的药效研究,拥有获得AAALAC完全认可的实验平台。公司配备了全种类实验场地,大小鼠SPF级标准实验室3000平米,猪、犬、羊、兔大动物实验室4000平米,检测中心5000平米。平台使用SPF级动物,配备10万级洁净度屏障环境,在规范的SOP和严格的QA流程管理下,确保每个实验高标准完成。
