从“消炎”到“精准靶向”:心包炎治疗进入个体化时代
心脏被一层充满炎性液体的“束缚套”紧紧包裹,每一次心跳都伴随着刀割般的疼痛,这不是危言耸听,而是数百万复发性心包炎患者的真实日常。
曾经,“消炎”是治疗心包炎的核心诉求,医生依赖广谱抗炎药物缓解症状;如今,随着对疾病机制的深度解码和靶向药物的迭代升级,心包炎治疗已迈入“精准靶向 + 个体化分层”的全新时代,为患者带来了告别反复疼痛的新希望。
心包炎:不容忽视的心血管炎症
心包炎是心血管领域的常见疾病,指心包(包裹心脏的纤维浆膜囊)因感染、免疫反应、创伤等因素引发的炎症。核心病理表现是心包充血、水肿、炎症细胞浸润,严重时会出现心包积液、粘连、增厚,甚至发展为心包缩窄,进而影响心脏的舒张功能。
按病程长短,它可以分为三类:急性心包炎(病程<6周)、亚急性心包炎(病程在6周-3个月)和慢性心包炎(病程>3个月)。从患病规模来看,全球心血管住院患者中急性心包炎占比约0.2%;在我国,每年心包炎新发病例超8万例,且呈现逐年上升趋势,这一疾病正成为不可忽视的心血管健康负担。

图源于:JAMA
发病机制探源
追本溯源,心包炎的核心发病机制是心包组织受到病原体侵袭、自身免疫攻击或理化刺激后,异常启动炎症反应通路并引发组织损伤,不同病因对应的机制差异显著,具体可分为两大类:
(1)感染性机制:病毒可直接侵袭心包组织,或通过免疫复合物沉积诱发炎症(如感染后CD4+T细胞浸润,释放IL-6、TNF-α等促炎因子);细菌、结核杆菌则通过血行传播或邻近组织蔓延,分别导致化脓性、结核性心包炎症。
(2)非感染性机制:多与免疫异常相关,如系统性红斑狼疮等自身免疫性疾病通过交叉免疫反应攻击心包抗原;或急性心肌梗死后心肌坏死释放自身抗原,诱发迟发性免疫介导的心包炎症。
IL-1抑制剂:精准治疗利器
在个体化治疗时代到来之前,心包炎的治疗长期停留在“经验消炎”阶段。传统一线方案(非甾体抗炎药+秋水仙碱)对多数急性患者有效,但约15%-30%的患者会面临停药后复发的困境。研究最终揭示,这一困境的核心症结在于白细胞介素-1(IL-1)炎症通路的持续异常激活,单纯的广谱消炎无法从根源阻断这一病理过程。
尽管以阿那白滞素为代表的早期IL-1抑制剂实现了对炎症通路的精准阻断,打破了传统治疗的局限,但每日注射的频繁给药方式,严重影响了患者长期治疗的依从性与疗效稳定性,成为精准治疗路上的“绊脚石”。
2025 年,ACC与 ESC更新指南,正式推动心包炎诊疗进入个体化时代,这场从“消炎”到“精准靶向”的革命迎来关键转折点。新指南的核心革新在于:治疗决策不再“一刀切”,而是基于患者炎症表型的精准评估进行分层驱动。对于一线治疗无效的“炎症表型”患者,靶向抗IL-1药物被确立为首选方案,标志着心包炎治疗从传统广谱抗炎正式跨越到精准免疫调节的新阶段。

图源于:ACC指南

图源于:ESC指南
医学的探索从未止步,新一代的IL-1抑制剂正朝着 “更高特异性、更长半衰期、更低感染风险”的方向飞速发展。例如, Denali Therapeutics研发的DNL659,能精准识别靶点,避免误伤IL-1β等介导正常免疫功能的“无辜成员”,在强效抑制病理炎症的同时,显著降低患者的感染风险,让治疗的安全窗大大拓宽。
精准靶向治疗未来可期
未来,随着基因测序和生物标志物检测的普及,医生甚至可以在治疗前就预测患者对哪种IL-1抑制剂反应最佳。靶向治疗的“武器库”正在不断扩充,心包炎这一古老的疾病,正在被现代医学重新定义。
对于无数反复承受胸痛折磨的患者而言,一个告别复发、安心生活的未来,正变得前所未有的清晰。而这场从‘经验消炎’到‘精准靶向’的革命,也标志着心血管疾病治疗迈入了更精准、更安全的个体化新时代。
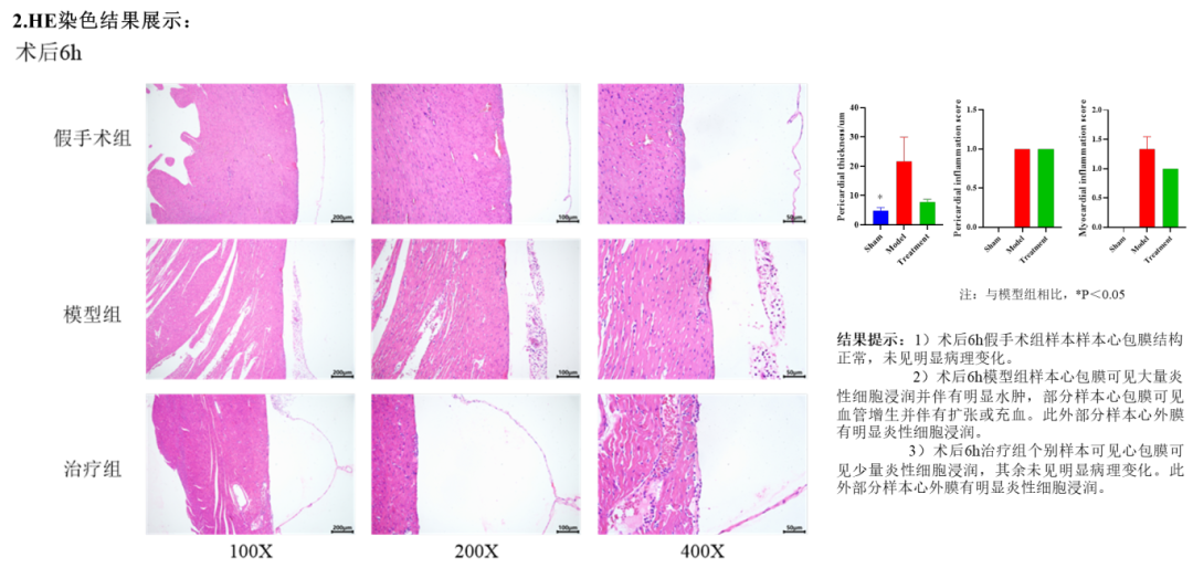
中洪博元心包炎模型
滑石粉诱导大鼠无菌性心包炎
实验动物:SD大鼠
实验分组:
1)假手术(N=9)
2)模型组(N=9)
3)模型+秋水仙碱组(N=9)
造模:在大鼠心包膜与心肌之间注入滑石粉混悬液
阳性药物:秋水仙碱
实验结果:




免责声明:本号内容仅供读者学习和交流。文章、图片等版权归原作者享有,如有侵权,请留言联系。
关于中洪博元
江西中洪博元生物技术有限公司成立于2015年,11年来坚持大规模标准化创制人类疾病动物模型,开展更接近人类疾病发生发展机制、更有临床转化价值的原创动物模型技术攻关,目前,中洪博元已合作药企200余家,开展项目300余项,积累了丰富的药理药效项目经验。
中洪博元秉承助力新药研发理念,开展基于动物疾病模型的药效研究,拥有获得AAALAC完全认可的实验平台。公司配备了全种类实验场地,大小鼠SPF级标准实验室3000平米,猪、犬、羊、兔大动物实验室4000平米,检测中心5000平米。平台使用SPF级动物,配备10万级洁净度屏障环境,在规范的SOP和严格的QA流程管理下,确保每个实验高标准完成。
