系统性硬化症模型 | 解码硬皮病:“精准靶向+再生修复”
系统性硬化症(systemic Sclerosis,SSc),俗称硬皮病,是一种罕见的以皮肤、关节和内脏的弥漫性纤维化和血管异常为特征的自身免疫性疾病。常见的症状包括雷诺综合征、多关节痛、吞咽困难、胃灼热、肿胀,最终皮肤增厚和手指挛缩。肺、心脏和肾脏的受累是主要死因。

图源:默沙东诊疗手册
(硬皮病晚期有光泽和增厚的皮肤,伴随着因紧绷产生的正常纹路消失)
SSc的发病率为1/10万左右,女性大约是男性的4倍。尽管罕见,却是致死率最高的风湿免疫疾病之一。SSc主要分为局限性皮肤型SSc(lcSSc)和弥漫性皮肤型SSc(dcSSc),此外还有无皮肤硬化的硬皮病(sine scleroderma)和重叠综合征(overlap syndrome)。
中洪博元已成功构建系统性硬化症模型,有需要欢迎咨询。
从 “全身硬化” 到精准分型
长期以来,硬皮病的治疗面临“一刀切”困境。
2025年12月18日,上海交通大学吕良敬和丁显廷教授团队在风湿病学国际顶级期刊《Annals of the Rheumatic Diseases》(IF = 20.6)上发表了一项重要研究成果。

该研究创新性地根据患者自身抗体类型将SSc划分为七个亚组:ACA、ATA、ARA、U1RNP、U3RNP、Ku及Th/To组。团队整合血浆蛋白质组、外周血单个核细胞转录组、免疫细胞表型及血浆代谢组数据,构建了各抗体亚组的系统分子图谱。

研究结果显示,所有SSc亚组存在共同致病机制,包括内皮损伤、细胞外基质沉积、Ⅰ型干扰素信号通路激活及调节性B细胞减少。同时,各亚组展现出独特的生物学特征:ACA阳性与钙质沉着相关;ATA阳性呈现氧化应激状态;ARA阳性出现癌症相关信号通路激活;U1RNP阳性表现为染色质重塑活跃;U3RNP与Ku亚组存在明显肌肉受累特征;Th/To阳性则与肺动脉高压相关的代谢特征密切相关。
该研究从多组学角度揭示了不同抗体亚型驱动疾病发生发展的特异机制,为诠释自身抗体的致病作用提供了直接证据,也为实现SSc的精准分型与个体化治疗奠定了坚实的理论基础。
细胞疗法的突破性进展
2025年6月,上海长征医院徐沪济教授团队的研究登上《Cell》,标志着细胞治疗进入新阶段。
该团队采用iPSC来源的CD19/BCMA双靶点CAR-NK细胞产品QN-139b,成功实现首例难治性系统性硬皮病临床转化。这种 “现货型” 细胞疗法通过多基因编辑,解决了传统 CAR-T 治疗的高毒性、个体化制备等瓶颈,治疗后患者皮肤硬化明显改善,肺功能与心脏功能关键指标显著提升,其 “低毒性、广谱靶向” 的特点为规模化应用提供了可能。

系统性硬化症的治疗已从传统 “对症治疗” 迈入 “精准靶向 + 再生修复” 的新时代。随着 iPSC-CAR 平台的完善,CAR-NK疗法有望扩展至更多自身免疫病领域,批量生产的 “现货型” 细胞产品将大幅降低治疗成本。多组学技术的深度应用将实现 “一人一策” 的个体化治疗方案,而病因机制的明确则为开发新药物提供了可能。
目前应用最为广泛、最为成熟的疾病动物模型是博来霉素(BLM)诱导的小鼠硬皮病模型,博来霉素是一种抗肿瘤抗生素,可诱导成纤维细胞活化、增殖和细胞外基质(ECM)过度沉积。将博来霉素局部注射到动物皮肤或皮下组织,或者通过气管内滴注等方式引入体内,会引起类似于人类硬皮病的皮肤和肺部纤维化病变,具有造模简单、重复性好等优点。
中洪博元系统性硬化症(硬皮病)模型
一、博来霉素诱导小鼠硬皮病模型
实验动物:Balb/c小鼠,雌性,7-8周龄,18-20 g
造模方法:按体重分组,模型组小鼠背部脱毛区皮下注射盐酸博来霉素,1次/天,连续皮下注射28天,空白对照组给予等体积生理盐水处理。
1.阳性药物:甲氨蝶呤注射液(MTX),造模同时给药治疗。
模型评价:




2.阳性药物:乙磺酸尼达尼布软胶囊,PO*BID*2weeks。
模型评价:




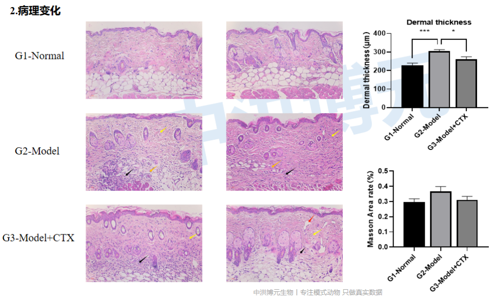
二、HOCl诱导小鼠硬皮病模型
原理:次氯酸诱导小鼠硬皮病模型是研究皮肤纤维化的常用动物模型之一,其核心原理是利用次氯酸的氧化损伤作用,诱导皮肤成纤维细胞活化和胶原过度沉积,模拟硬皮病(系统性硬化症)的皮肤病理特征。
实验动物:Balbc小鼠,雌性,7-9周龄,18-20g
造模方法:模型组小鼠背部脱毛区皮下注射HOCl溶液,每日1次,连续注射8周;对照组小鼠皮下注射PBS缓冲液。
阳性药物:环磷酰胺(CTX)
模型评价:


参考文献:
1.Lin W, Zhao Z, Jia C, et al. Shared and unique molecular signatures across different autoantibody groups in systemic sclerosis: a multiomics analysis. Ann Rheum Dis. 2025 Dec 18:S0003-4967(25)04552-2.
2.Wang X, Zhang Y, Jin Y, et al. An iPSC-derived CD19/BCMA CAR-NK therapy in a patient with systemic sclerosis. Cell. 2025;188(16):4225-4238.e12.
