玛仕度肽登Nature:锚定脂毒性,开辟降糖药研发新路径
脂毒性是2型糖尿病(T2DM)血糖异常、器官损伤的核心驱动因素,脂质在肝脏、胰腺等非脂肪组织异常沉积,进而诱发胰岛素抵抗、细胞凋亡与炎症反应,其不仅是T2DM发病核心症结,更是代谢疾病治疗与药物研发关键突破口。

图源:Diabetes Metab Syndr Obes
2026年1月10日,“玛仕度肽DREAMS系列研究成果研讨会”于北京召开,会议聚焦DREAMS-1&DREAMS-2。2025年12月18日,山东第一医科大学附属医院赵家军教授团队、南京大学附属医院朱大龙教授团队与信达生物携手完成的玛仕度肽单药治疗中国T2DM患者Ⅲ期临床研究(DREAMS-1),刊发于Nature主刊。玛仕度肽另一项Ⅲ期临床研究(DREAMS-2),与DREAMS-1以“背靠背”形式联袂登上该顶刊。实现中国新药Ⅲ期临床研究成果首次登顶Nature主刊,更首次通过临床实验证阐明,双靶点药物可靶向脂代谢紊乱核心机制,破解代谢疾病领域脂毒性关键难题;也是Nature自创刊以来,首次在代谢与内分泌疾病领域同期发表两项Ⅲ期临床研究。

图源:新华网
玛仕度肽核心竞争力,源于其GCG/GLP-1双靶点协同设计及优化成药属性,能实现脂毒性调控与成药性平衡。GLP-1受体激活可通过抑制食欲、延缓胃排空、葡萄糖依赖性促胰岛素分泌,从“摄入端”控糖减重,减少脂质异常沉积源头;GCG受体激活则直接作用于肝脏,促进脂肪分解氧化、抑制合成沉积,从“消耗端”逆转肝损伤,形成协同效应。通过定点PEG化修饰(选择N端氨基位点进行适度分子量PEG连接)与肽链构象约束(引入非天然氨基酸稳定双靶点结合构象),提升药物半衰期至7天,强化脂代谢调控活性,同时精准控制剂量依赖型胃肠道反应,打破“多靶点药物必伴高安全风险”固有认知,为双靶点肽类药物成药性设计提供实操参考。
中国T2DM患者以腹型肥胖为主,脂毒性更易累及肝脏引发代谢相关脂肪性肝病(MASLD),与欧美人群全身性肥胖病理特征差异显著,导致进口药物适配性不足。玛仕度肽系列研究(DREAMS-1/2/3)以中国患者为核心,覆盖国内48家医院,样本量与研究中心数量位居国内同类研究前列,充分保障本土临床适配性。
DREAMS-1研究纳入320名患者开展24周治疗,沿用临床前验证的核心脂毒性评价指标,采用肝脂肪含量MRI定量检测(对应动物模型肝组织病理定量分析)、肝酶谱动态监测(对应动物血清肝酶检测),结合传统降糖减重终点,结果显示6mg剂量组HbA1c降幅达2.15%,体重下降7.81%,肝脏脂肪含量相对减少超40%,谷丙转氨酶、谷草转氨酶及甘油三酯水平均显著优化,近65%患者同时实现血糖达标与体重降幅≥5%。从量效关系看,临床剂量梯度(4mg/6mg)与临床前动物模型剂量效应趋势一致,4mg至6mg剂量区间脂代谢调控效果呈显著正相关,且不良反应发生率无明显上升,明确临床最优剂量窗口,既验证临床前药效数据的预测价值,也为药效-安全性平衡评估、剂量爬坡设计提供量化依据。

图源:医脉通内分泌科
相较于单靶点GLP-1药物司美格鲁肽,玛仕度肽组在血糖达标且体重降幅≥10%的比例(提升约18个百分点)、平均体重降幅(增加1.23kg)、肝脏脂肪含量降幅(提升9.7个百分点)上均显著更优。
其“靶点验证-结构修饰-量效关系评估-头对头验证”研发体系,为多靶点代谢药物药效学研究提供了可复制的技术路径。目前基于脂毒性调控优势,信达生物已启动MASLD、青少年肥胖等拓展适应症的药效学研究。

图源:药物临床试验登记与信息公示平台
玛仕度肽的成功,关键在于围绕脂毒性调控,既保障短期降糖减重核心药效,又强化中期脂代谢改善差异化优势,更兼顾长期器官保护药效延伸。当前临床应用降糖药物,单靶点GLP-1药物侧重降糖减重,对肝脂的直接调控药效有限;传统降脂药无法同步改善血糖与胰岛素抵抗,难以破解脂毒性核心症结。这种药效短板,为以脂毒性为锚点的多靶点药物研发创造空间,也明确药效研发未来核心方向之一是聚焦“降糖-调脂-护肝”协同药效。
以脂毒性为核心还可延伸至MASLD、代谢综合征等关联疾病的药物研发,通过共享脂毒性评价模型、靶点验证方法与结构修饰技术,缩短研发周期、降低药效学验证成本。
2025年国内降糖药市场规模已攀升至约970亿元,其中GLP-1类药物作为增速最快细分品类,市场规模突破230亿元,年同比增长超58%。当前市场仍由诺和诺德、礼来等进口企业主导,头部两家合计占据GLP-1领域近九成全球份额,其单靶点产品虽在降糖、减重上表现突出,但多数难以实现降糖、调脂、护肝协同获益,且国内市场同质化竞争加剧,67.2%的在研药物集中于传统GLP-1等三大靶点。在此背景下,以脂毒性为核心锚点构建研发路径,依托双/多靶点差异化设计及全周期药效评价体系,精准突破单靶点药物的临床局限,规避同质化竞争风险,有望在2030年逼近2700亿元的降糖药市场中抢占核心份额。
中洪博元可提供2型糖尿病及并发症动物模型,精准匹配人群腹型肥胖、肝脂沉积等病理特征,助力成果高效转化,相关合作可随时咨询了解。
中洪博元糖尿病动物模型部分实验数据展示
一、Wistar大鼠II型糖尿病足溃疡模型
疾病病理:糖尿病足是糖尿病患者常见的慢性并发症之一,主要是由于糖尿病引起的下肢神经病变、血管病变和感染等多种因素相互作用导致的足部疾病。
造模方式:高脂饲养+腹腔注射+手术造模
阳性药物:EGF(表皮生长因子)



皮肤创面HE染色,对照组:真皮层新生毛细血管数量较少,组织间隙少量充血,成纤维细胞和纤维细胞数量较少,胶原纤维较少,模型组:真皮层中毛细血管丰富,毛细血管周围散布大量成纤维细胞,纤维细胞数量较少,胶原纤维较多,局部出现炎症细胞浸润。生长因子组:毛细血管周围散布着很多成纤维细胞,细胞浸润情况较模型组低。
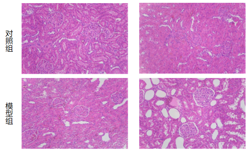
二、SD大鼠II型糖尿病肾病模型
疾病病理:糖尿病肾病(Diabetic Nephropathy, DN)是由糖尿病引起的慢性肾脏病,主要表现为肾小球硬化,是糖尿病最常见的微血管并发症之一。
造模方式:单侧肾切除后,高糖高脂饲料持续饲养,于第8周进行STZ腹腔注射,诱导II型糖尿病。


在week19时模型组24h尿蛋白普遍达到30mg以上,符合DN模型尿蛋白排泄率增加的特征。

肾脏HE染色结果,对照组肾组织结构正常;模型组均可见肾小管水肿扩张,毛细血管出血,但未见明显炎性细胞浸润,符合糖尿病肾病的病理特征。
参考文献:
Chen, Biaohua et al. “Lipotoxicity: A New Perspective in Type 2 Diabetes Mellitus.” Diabetes, metabolic syndrome and obesity : targets and therapy vol. 18 1223-1237. 24 Apr. 2025, doi:10.2147/DMSO.S511436
免责声明:本文内容仅供读者学习和交流。文章、图片等版权归原作者享有,如有侵权,请留言联系。
关于中洪博元
江西中洪博元生物技术有限公司成立于2015年,11年来坚持大规模标准化创制人类疾病动物模型,开展更接近人类疾病发生发展机制、更有临床转化价值的原创动物模型技术攻关,目前,中洪博元已合作药企200余家,开展项目300余项,积累了丰富的药理药效项目经验。
中洪博元秉承助力新药研发理念,开展基于动物疾病模型的药效研究,拥有获得AAALAC完全认可的实验平台。公司配备了全种类实验场地,大小鼠SPF级标准实验室3000平米,猪、犬、羊、兔大动物实验室4000平米,检测中心5000平米。平台使用SPF级动物,配备10万级洁净度屏障环境,在规范的SOP和严格的QA流程管理下,确保每个实验高标准完成。
