慢性心衰治疗,信立泰JK07或将破局!
心力衰竭(Heart Failure, HF)是心脏结构和(或)功能异常,使心室收缩和(或)舒张功能发生障碍,主要表现为呼吸困难、疲乏和体液潴留等。

图片来源:信立泰官网
慢性心力衰竭(Chronic heart failure,CHF)是指持续存在的心力衰竭状态,可以稳定、恶化或失代偿。随着人口老龄化以及肥胖、糖尿病等代谢性疾病发病率的攀升,全球心衰患者数量持续增长,超过6400万人。

图片来源:SalubrisBio官网
心力衰竭 (HF) 由两种主要疾病形式组成,一种是射血分数降低的心力衰竭(HFrEF),是指心肌无法正常收缩以将足量的富氧血液泵送到身体的其他部位。另一种是射血分数保留心力衰竭(HFpEF),是指左心室能够正常收缩(因此射血分数正常),但舒张功能障碍使得心脏无法有效地充盈血液,导致泵出的血液减少。
9月23日,信立泰药业举办投资者开放日,公布了一系列创新成果和管线进展,其中一款代号为JK07的治疗慢性心衰药物引发轰动,受此影响其市值首次突破700亿元。
JK07是信立泰旗下子公司位于美国的Salubris Biotherapeutics(简称SalubrisBio)自主研发的一款中美双报的创新药,目前II期临床中期结果良好,预测销售峰值超200亿美金。

图片来源于网络
JK07全称是重组人神经调节蛋白1(NRG-1)-抗HER3抗体融合蛋白注射液,是具有全球知识产权的NRG-1融合抗体药物,是心衰领域首个进入临床开发阶段的抗体融合蛋白、选择性ErbB4激动剂,拟开发适应症包括HFrEF和HFpEF。
NRG-1主要通过与心肌细胞上的ErbB3或ErbB4受体结合,从而发挥治疗作用。基于这一机制研发的潜在首创新药纽卡定(重组人纽兰格林,rh-NRG-1)正处于临床III期研究阶段。
然而,NRG-1由于分子量较小(44kD)导致半衰期很短(纽卡定在静脉注射时半衰期10分钟,皮下注射半衰期也只有1.5小时),需要给予更高的剂量,增加了毒性风险。此外,ErbB(也称作HER家族)和癌症息息相关,NRG-1与HER3受体结合可能会增加致癌风险。

图片来源:SalubrisBio官网
而JK07的设计和基本原理——选择性 ErbB4 激动剂,正好解决了NRG-1现有的两个痛点,将NRG-1与HER3单抗结合在一起,大大增加了分子量,JK07的半衰期达到了25天。另一方面,JK07的HER3抗体部分可以结合HER3受体,从而阻断NRG-1部分与HER3受体结合,即在选择性激活HER4的同时阻断HER3受体功能,降低了致癌风险,大大提高了成药性和安全性。
在疗效上,Salubris Biotherapeutics(简称SalubrisBio) 在 2023 年美国心力衰竭学会年会的后期会议上公布了 JK07 1b 期临床试验的 6 个月积极数据。
在该项研究中,14例患者被随机分配至3比1的积极治疗组和安慰剂组(11名JK07:3名安慰剂),前两组各有5名患者(分别为0.03mg/kg和0.09mg/kg),第三组有4名患者(0.27mg/kg),单剂量静脉内给药,并检测心脏泵血能力的关键指标“左心室射血分数(LVEF)”相对于基线值的变化。
结果显示,在中高剂量水平下观察到的射血分数(EF)平均改善 31%,完整的研究结果表明 JK07 耐受性良好,未观察到剂量限制性毒性。在0.27 mg/kg剂量下,给药60天后,LVEF较基线平均改变了50%!

来源:SalubrisBio官网
JK07正在进行HFrEF和HFpEF患者的MRCT(国际多中心)II期临床试验(RENEU-HF)。目前,HFrEF患者入组已全部完成,预计将在2026年上半年读出主要终点数据。HFpEF患者入组正顺利进行,整体进展符合预期。
目前,全球心衰治疗“药王”是诺华Entresto(代号LCZ696),其年销售额已快达到80亿美元,从侧面说明了目前心衰治疗的巨大市场潜力,而JK07作为全新作用机制的药物,在早期数据上表现不错,对于信立泰给出的销售峰值200亿美元的预测,或许也并非毫无可能。
更重要的是,和恒瑞、华东医药一样,信立泰向创新药转型闯出了一条活路,JK07也是中国创新药从“仿制”向“First-in-class”奋进的一个缩影。
中洪博元慢性心衰模型介绍
一、主动脉弓缩窄(TAC)致小鼠慢性心衰模型
造模方法:C57BL/6J小鼠麻醉后,在胸骨上缘下方横向剪开一个开口,使用缝合线将主动脉弓部结扎。8周后进行模型验证。
模型验证:心脏左室短轴缩短率FS值低于25%,表明左心室缩短率明显降低。

注:左室射血分数EF值低于50%是心衰, 40%-50%:轻度心衰,在30%-40%:中度心衰,如果低于30%属于重度心衰。
二、大鼠慢性心衰(阿霉素法)模型
造模方法:Wistar大鼠(雄性,300g左右),每周按照腹腔注射一次盐酸阿霉素溶液,持续8周,共8次。
模型验证:
1. 心脏超声检测



2.心肌组织HE染色

三、大鼠心肌梗死致心衰模型
造模:结扎左降支造成大鼠心肌梗死,3周后进行模型验证。
模型验证:
1. 心脏彩超检测分析心力衰竭对大鼠心脏功能的影响,与对照组比较,模型组中,EF百分比下降,具有显著性差异(P<0.05)。

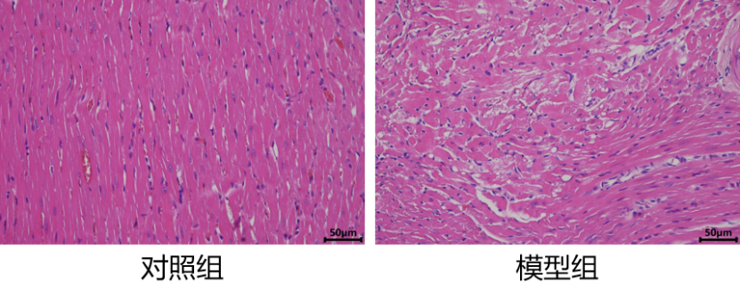
2. HE染色进行心肌组织病理观察,正常组心肌排列整齐;模型组心肌组织中大量弥漫性出血,出血灶周围心肌细胞核形态发生变化,大量炎性细胞浸润。

3. Masson染色进行心肌组织病理观察,正常组中心肌纤维化程度低,模型组中心肌纤维化程度加深。

