机制革新与市场爆发:2025 CKD创新药5大热门方向破局‘不可逆’困境
慢性肾脏病(CKD)也称为慢性肾病综合症,是指由各种原因所引起的慢性肾脏结构和功能障碍,主要症状包括浮肿、排尿异常及腰部或背部伴有疼痛感等。它曾是医学界公认的“不可逆”难题,确诊即中晚期的困境让全球数亿患者面临终末期肾病的风险。

图源:中洪博元
2025机制突破:从“延缓”到“逆转”的跨越
1. 联合疗法ETA+SGLT2i实现增效减毒
2025年11月第58届美国肾脏病学会(ASN)年会上,丹麦Steno糖尿病中心的ZODIAC试验证实 Zibotentan(选择性内皮素受体A拮抗剂,ETA)齐泊腾坦,搭档“肾科明星药”SGLT2 抑制剂达格列净,效果直接翻倍。

图源:美国肾脏病学会(ASN)年会
联合治疗组的尿白蛋白/肌酐比值(UACR)较基线降了48.9%,比齐泊腾坦单药的37.7%厉害多了。更绝的是,它能解决ERA类药单独用容易引发液体潴留的老毛病,联合组居然没1例相关不良反应,给中重度CKD患者来了个“又强又安全”的方案。

图源:美国肾脏病学会(ASN)年会
这背后的逻辑特好懂:SGLT2抑制剂本身就有护心护肾的硬实力,能帮肾脏减负,而ETA能精准阻断肾脏的炎症和纤维化通路,两者互补,既放大疗效,又互相“抵消”副作用。
2. 醛固酮合酶抑制剂+ SGLT2i:61%降幅刷新纪录
2025世界肾脏病大会(WCN)上,高选择性醛固酮合酶抑制剂Vicadrostat(BI 690517)的II期数据表明它跟恩格列净搭伙使用时,10mg剂量组的UACR最大降幅飙到61%,比单独用药或吃安慰剂效果好太多,而且剂量越高效果越明显。
这对“黄金搭档”的作用原理很实在:醛固酮分泌多了,就容易引发高血压、肾脏炎症和纤维化,Vicadrostat刚好能精准抑制它,再加上SGLT2i的护肾buff,双管齐下拦住肾脏损伤。目前相关III期临床试验(EASi-KIDNEY,NCT06531824)已经在筹备,以后糖尿病肾病患者又多个强力选择。
3. 双效受体拮抗剂:IgA肾病患者的“统一解药”
IgA肾病是高发亚型,不同患者组织学特征差异显著,治疗效果也天差地别,始终难以制定统一适用的治疗方案。而牛津大学的研究表示不管患者的MEST-C评分如何,用司帕生坦治疗36周后,蛋白尿都能显著降低。司帕生坦作为全球首个非免疫抑制类的双效药物,能精准同时抑制ETA受体和血管紧张素II的AT1受体。这一独特机制既能抑制内皮素系统引发的血管收缩、炎症反应和肾脏纤维化,又能阻断血管紧张素系统导致的血流动力学异常,进而减少肾小球损伤,实现保护肾脏功能的效果。
在PROTECT临床试验中,其治疗36周时蛋白尿减少比例高达49.8%,显著优于厄贝沙坦组的15.1%,且蛋白尿完全缓解率达到35%,是对照组的4倍多。这种不受病理分型限制的普适性高效治疗特性,标志着IgA肾病治疗摆脱了以往疗效有限且需逐型调整方案的困境,是肾病治疗从依赖传统差异化对症治疗,迈向跨病理类型靶向治疗的关键突破。
4. 补体通路抑制剂:免疫相关肾病的“新突破口”
IgA肾病、C3肾小球病这些免疫相关肾病,核心问题就是补体通路异常激活,导致肾脏受损。2024年获批的Fabhalta(伊普可泮)就是这类代表,治疗IgA肾病9个月,蛋白尿就能降44%,2025年还获批C3肾小球病的适应症。另一款Empaveli(pegcetacoplan)也在 2025 年7月获批,能治C3肾小球病和膜增生性肾小球肾炎,真正实现“一种药管多种病”的潜力。这种针对疾病核心机制的研发思路,避免了“头痛医头脚痛医脚”,给更多难治性肾病患者带来了希望。
5. 抗炎代谢调节剂:从源头逆转早期损伤
ASN年会上,君圣泰医药直接甩出那款全球首创的抗炎代谢调节剂(AIMM)熊去氧胆小檗碱(HTD1801)的III期汇总数据。
这款药物针对CKD高风险人群展现出精准防控能力:对于基线eGFR在60-90 ml/(min・1.73m²)的轻度肾功能损害患者,能显著改善eGFR水平,把指标斜率拉成正值,这不是“逆转”是什么?而针对eGFR≥120的超滤过患者,它能稳稳当当把指标拽回正常范围,关键是全程不折腾血压和电解质,也太省心了!
其双机制设计一边激活AMPK通路帮肾脏稳住能量,一边抑制NLRP3炎症小体减少炎症和纤维化,从根上拦住CKD进展。以前早期CKD干预总有点“无处下手”,现在这药直接把空白给填上了,带来了大希望。

君圣泰医药(2511.HK)今年走势图与ADA 2025亮相 图源:格隆汇
新药的密集突破背后,是CKD治疗市场的巨大潜力啊!现在全球市面上的核心药,主要就两类:SGLT2抑制剂和MRA,再加上些基础款ARB类药物。
先说说“明星选手”SGLT2抑制剂,像达格列净、恩格列净这些既护心又护肾,直接被2024年KDIGO指南列为1A类推荐,成了CKD一线治疗的“香饽饽”。销量也贼能打:达格列净2024年全球卖了77.17亿美元,恩格列净更是冲破百亿美金大关,在CKD领域的“渗透率”还在一个劲往上冲。

图源:一度医药
再看MRA类,非甾体类的非奈利酮:针对CKD 3期还合并2型糖尿病的患者,比传统甾体类药物螺内酯厉害多了,能让不良肾脏结局的风险降低 31.6%(MAKE 复合终点发生率5.9% vs 10.4%)。但它也有小短板:2024年销售额才约5.03亿美元,而且短期随访发现,有9.7%的患者可能会出现高钾血症,蛋白尿也没明显减少,还得靠更大规模研究验证长期效果才行。
还有ARB类,像缬沙坦、氯沙坦这些,算是“老伙计”了,一直是CKD基础治疗的选择,临床用得特别广,也能看出来市场对CKD治疗的需求有多刚性。
2025 年的新药突破印证两大研发方向的正确性:一是“机制协同”,多靶点联合疗法;二是“全程管理”,早期干预药物的成功,将治疗关口前移,从“被动延缓”转向“主动防控+逆转”。同时,治疗理念已从“单器官治疗”升级为“心血管-肾脏-代谢(CKM)综合管理”,更贴合疾病复杂机制。
全球CKD患者目前超8.5亿,咱们中国就占了1.3亿左右!庞大且迫切的临床治疗需求,叠加突破性进展,正推动CKD治疗进入“精准化、全程化、可逆化”新时代。随着更多临床试验的推进与新机制药物的持续迭代,联合疗法、双效拮抗剂、补体通路抑制剂等当前热门研发方向将进一步成熟。
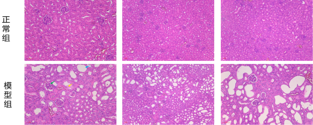
中洪博元慢性肾功能不全模型介绍——腺嘌呤致小鼠慢性肾功能不全模型
造模:8周龄Balb/c雄性小鼠适应性饲养后,模型组灌胃腺嘌呤28天;空白组大鼠灌服等体积的空白溶剂。实验终点取材。成模率100%,无动物死亡。
1.体重、器官指数及血清生化指标检测

体重结果表明,与模型组相比,空白组动物体重与其有显著性差异(p<0.0001),表明造模对动物体重有显著影响。肾脏指数和血清生化结果表明,与空白组相比,模型组动物肾脏指数和血清中的UREA含量与其有显著性差异(p<0.0001),表明造模成功。
2.肾脏表观观测

空白组动物肾脏外观光滑,颜色呈红褐色,质地较为柔软;模型组动物肾脏略显肿胀,颜色变浅发白,质地变得较为硬实。
3.HE染色

肾小球坍塌(绿色箭头),肾小管上皮细胞脱落(黄色箭头),肾小管扩张(蓝色箭头)。HE染色结果表明:正常组样本肾小球完整,未见明显病理变化。模型组样本均可见肾小管有明显扩张,大部分样本可见肾小球坍塌,部分区域肾小管上皮细胞可见明显脱落。
4.MASSON染色

MASSON染色结果显示:空白组肝脏组织中的肝小叶结构正常,未见明显的胶原沉积现象;模型组中胶原沉积现象大面积增生,其可见大量蓝色的纤维化面积 ;胶原容积分数(%,CVF)结果也表明模型组肝脏纤维化程度与空白组相比有显著性升高(p<0.0001)。
免责声明:本号内容仅供读者学习和交流。文章、图片等版权归原作者享有,如有侵权,请留言联系。
关于中洪博元
江西中洪博元生物技术有限公司成立于2015年,11年来坚持大规模标准化创制人类疾病动物模型,开展更接近人类疾病发生发展机制、更有临床转化价值的原创动物模型技术攻关,目前,中洪博元已合作药企200余家,开展项目300余项,积累了丰富的药理药效项目经验。
中洪博元秉承助力新药研发理念,开展基于动物疾病模型的药效研究,拥有获得AAALAC完全认可的实验平台。公司配备了全种类实验场地,大小鼠SPF级标准实验室3000平米,猪、犬、羊、兔大动物实验室4000平米,检测中心5000平米。平台使用SPF级动物,配备10万级洁净度屏障环境,在规范的SOP和严格的QA流程管理下,确保每个实验高标准完成。
如想了解实验详情欢迎咨询:
💬 微信公众号「中洪药效评价」在线咨询
