心衰赛道:1210万患者背后,中药复方撬动百亿市场,改写生死轨迹
心衰,作为各类心血管疾病的终末阶段,被称为“心脏病的最终战场”,其核心是心脏收缩无力或舒张受限,难以满足全身供血需求,典型症状可概括为“气、肿、累”,还常伴随食欲不振、夜尿增多、头晕等易被忽视的表现。杨杰孚教授团队在The Lancet Global Health(IF=34.3)发表的研究数据显示,我国≥25 岁人群心衰患病率达1.1%,患者规模约1210万,每年新增病例近300万,其5年死亡率高达50%-60%。

长期以来,心衰治疗领域的创新突破多由西药主导,中药常被贴上“辅助治疗”的标签。直到一款中药复方的研究成果登上国际顶级医学期刊Nature Medicine,这一固有认知被彻底打破,为心衰治疗开辟全新路径。
打破偏见:芪苈强心凭硬证据登顶刊,改写中药心衰治疗地位
以岭药业的芪苈强心胶囊,用达到国际顶尖标准的循证研究,打了一场漂亮的“翻身仗”。其研发思路源自中医络病理论,由黄芪、附子、人参等11味药材配伍而成,核心功效在于“益气温阳、活血通络、利水消肿”,实现“气血水同治”的治疗目标。从作用机制来看,它可同时打通“改善血流动力学、拮抗神经激素、保护心肌、调节免疫代谢”四条通路,这种多靶点、多维度的干预模式,比传统西药只盯着一个靶点发力的模式,思路可要开阔多了。

QUEST研究患者入组和随访(南京医科大学第一附属医院李新立教授与河北医科大学贾振华教授牵头)图源:Nature Medicine
其3110例大样本的QUEST研究作为我国首个中医药心衰硬终点研究,发表于Nature Medicine,并在2025年11月22日第二十一届国际络病学大会海外论坛上被进一步解读:在标准治疗基础上联合使用芪苈强心,可使主要不良心血管事件(心血管死亡和心衰恶化再住院)发生风险降低22%,其中心衰再住院风险降低24%,心血管死亡风险降低17%。更值得关注的是射血分数这一核心疗效指标,亚组分析证实,芪苈强心对射血分数降低的心衰(HFrEF)患者的获益在不同射血分数水平均保持一致,尤其在低射血分数患者中绝对获益更为显著,同时还能显著降低患者血浆NT-proBNP水平(评估心衰严重程度的关键指标)。

芪苈强心胶囊(QLQX)组和安慰剂组至主要心血管不良事件时间的Kaplan-Meier曲线 图源:Nature Medicine
对标国际重磅药诺欣妥:中药疗效毫不逊色
提及心衰治疗领域的标杆性西药,诺华的沙库巴曲缬沙坦钠片(商品名:诺欣妥)无疑是绕不开的存在。作为首个脑啡肽酶抑制剂和血管紧张素II受体阻滞剂组成的共晶体药物,它通过“抑制脑啡肽酶延缓护心因子降解、阻断血管紧张素II抑制心衰恶化”的双重调节机制,实现对心衰进程的根本性阻断与逆转。
诺欣妥凭借经典的PARADIGM-HF研究奠定临床地位,该研究显示其与传统标准治疗药物相比,可使心衰患者心血管死亡风险和住院风险分别降低20%和21%。而从最新临床应用来看,其治疗心衰能同时对合并高血压的心衰患者实现双重获益,但需密切监测血钾、肾功能及血压以规避潜在风险。诺欣妥作为获得“医药界诺贝尔奖”盖伦奖的创新药物,在2025年进博会上被诺华重点展示,彰显其在全球心血管领域的标杆地位。

图源:未来智库网
将芪苈强心的QUEST研究与诺欣妥的核心研究及最新应用数据对比可见,两者在临床价值上不相上下:
1)从样本规模来看,PARADIGM-HF研究虽整体纳入全球47个国家985个中心约8400例患者,但中国仅贡献353例病例;而QUEST研究纳入3110例射血分数降低的心衰(HFrEF)患者,覆盖中国大陆和中国香港特别行政区133家医院,研究对象高度聚焦中国人群,更贴合中国心衰患者的临床实际情况;

图源:中国卫生健康网&沙库巴曲缬沙坦钠片药品说明书
2)从关键疗效指标来看,QUEST研究证实芪苈强心可使主要不良心血管事件发生风险降低22%,其中心衰恶化再住院风险降低24%;诺欣妥的PARADIGM-HF研究则显示其能使患者心血管死亡风险降低20%,两者在降低心衰再住院率方面均展现出显著疗效;
3)从适用人群的疗效一致性来看,两者均在射血分数降低的心衰(HFrEF)患者中展现出稳定获益,其中QUEST研究的左室射血分数(LVEF)亚组分析证实,芪苈强心对不同LVEF水平患者的获益均保持一致,在低LVEF亚组中的绝对获益更为突出;而诺欣妥作为血管紧张素受体脑啡肽酶抑制剂,其独特优势体现在长期逆转心室重构。
传统心衰药物的疗效提升幅度通常仅为5%-10%,芪苈强心22%的突破堪称“跨越式进步”,即便与诺欣妥这类国际重磅创新药相比,其疗效表现也毫不逊色。
临床认可与市场潜力:中药心衰治疗的新可能
目前芪苈强心已被纳入《中国心力衰竭诊断和治疗指南》等20余部国内外权威指南/共识,成为首个获得I/A类推荐改善射血分数降低的心衰患者临床硬终点和中间终点的专利中药。同时,它已成功在肯尼亚、巴西、南非、加拿大等多个国家注册上市。更关键的是,其早已被纳入医保乙类目录,大幅降低患者用药成本,为后续市场渗透率的提升奠定坚实基础。
传统西药常对射血分数保留型心衰(HFpEF)、双心衰等特殊亚型 “视而不见”,而被忽略的细分赛道,恰恰是心衰研发的黄金缺口。默沙东的索特西普(Sotatercept)、诺和诺德的司美格鲁肽(GLP-1RA)之所以能崭露头角,核心正是精准狙击这些痛点。心衰是涉及多通路、多靶点的复杂疾病,因此,未来的突破方向必然聚焦于多机制。
心衰这个赛道说它是 “香饽饽” 绝不是空谈:国产核心药物新活素是西藏药业的业绩支柱,2025年上半年实现销售收入14.56亿元,占公司同期销售总额的88.36%,虽同比仅小幅增长0.41%,但已覆盖近7000家医疗机构;国际巨头默沙东更是早早就下注,2021年豪掷115亿美元收购Sotatercept的研发公司,如今这款药物不仅2025年前三季度斩获9.76亿美元销售额,其针对心衰相关适应症的II期研究已取得积极结果。
从市场潜力来看,心衰赛道的百亿规模已清晰可见。以1210万患者为基数,实际心衰患者年平均住院费用近3万元、门诊费用超6000元,仅国内市场就已具备数百亿元的基础规模,再叠加创新药出海、渗透率提升等红利,这赛道的成长天花板高到超乎想象。作为该赛道的核心中药品种,芪苈强心若能实现30%的渗透率,年销售额有望突破60亿元。这一前景背后,是中药在多因素、复杂性疾病治疗领域的独特优势,心衰作为多机制叠加的疾病,单一靶点西药的研发已逐渐遭遇瓶颈,而芪苈强心这类基于传统医学理论研发的中药复方,其多靶点、多通路的干预模式,恰好契合心衰的病理机制特点,可为心衰治疗提供全新的研发思路。
过去,心衰治疗的话语权多由西药主导;如今,芪苈强心证明传统中药经过现代循证医学的验证,完全有能力在心衰领域占据重要一席之地。未来,随着中医药现代化、循证化进程的推进,有望诞生更多像芪苈强心这样的创新中药,与西药形成协同互补,共同改写心衰患者的“生死剧本”。
中洪博元慢性心衰模型
一、大鼠慢性心衰模型
造模:Wistar大鼠(雄性,300g左右),每周按照腹腔注射一次盐酸阿霉素溶液,持续8周。
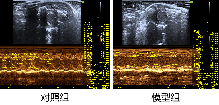
1.心脏超声检测


2.心肌组织HE染色

二、小鼠慢性心衰模型
造模:C57bl/6J小鼠麻醉后,在胸骨上缘下方处,横向剪开一个开口。在胸骨上缘下方处,横向剪开一个开口。使用缝合线穿过主动脉弓部,连同垫针将主动脉弓部结扎,然后拔出垫针。逐层缝合伤口。放入保温箱待小鼠苏醒后放入鼠笼。8周后进行模型验证。
1.造模过程

2.模型验证

左室射血分数EF值低于50%是心衰, 40%-50%:轻度心衰,在30%-40%:中度心衰,如果低于30%属于重度心衰。心脏左室短轴缩短率FS值低于25%,表明左心室缩短率明显降低。
免责声明:本号内容仅供读者学习和交流。文章、图片等版权归原作者享有,如有侵权,请留言联系。
关于中洪博元
江西中洪博元生物技术有限公司成立于2015年,11年来坚持大规模标准化创制人类疾病动物模型,开展更接近人类疾病发生发展机制、更有临床转化价值的原创动物模型技术攻关,目前,中洪博元已合作药企200余家,开展项目300余项,积累了丰富的药理药效项目经验。
中洪博元秉承助力新药研发理念,开展基于动物疾病模型的药效研究,拥有获得AAALAC完全认可的实验平台。公司配备了全种类实验场地,大小鼠SPF级标准实验室3000平米,猪、犬、羊、兔大动物实验室4000平米,检测中心5000平米。平台使用SPF级动物,配备10万级洁净度屏障环境,在规范的SOP和严格的QA流程管理下,确保每个实验高标准完成。
